At our office, we specialize in giving patients a beautiful, healthy and functional smile. We do that by offering the best of every service. These services range from basic cleaning, whitening, veneers, clear orthodontic aligners, fillings, implants and dentures.
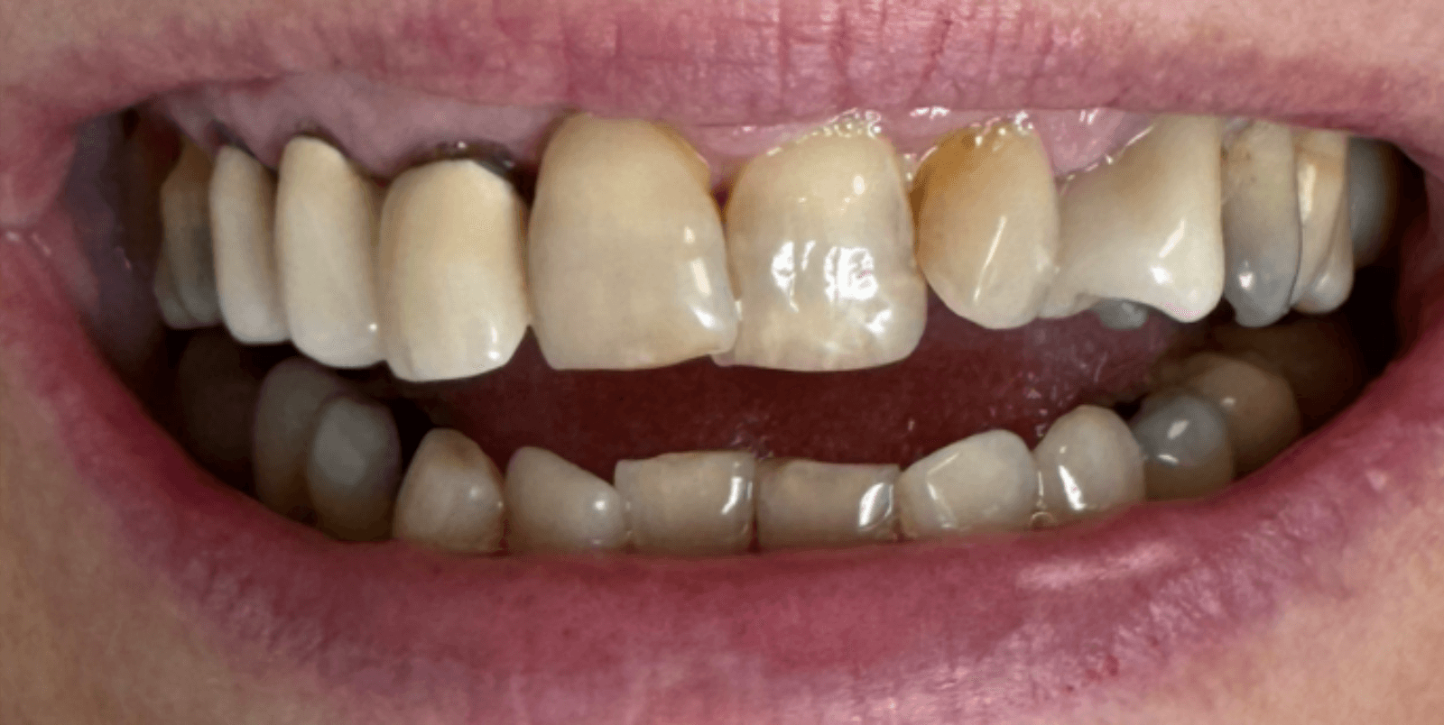
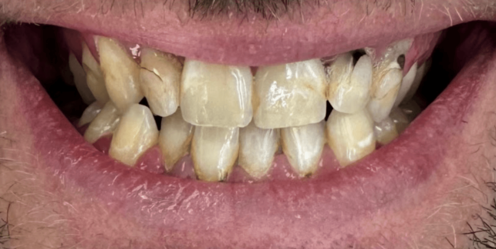
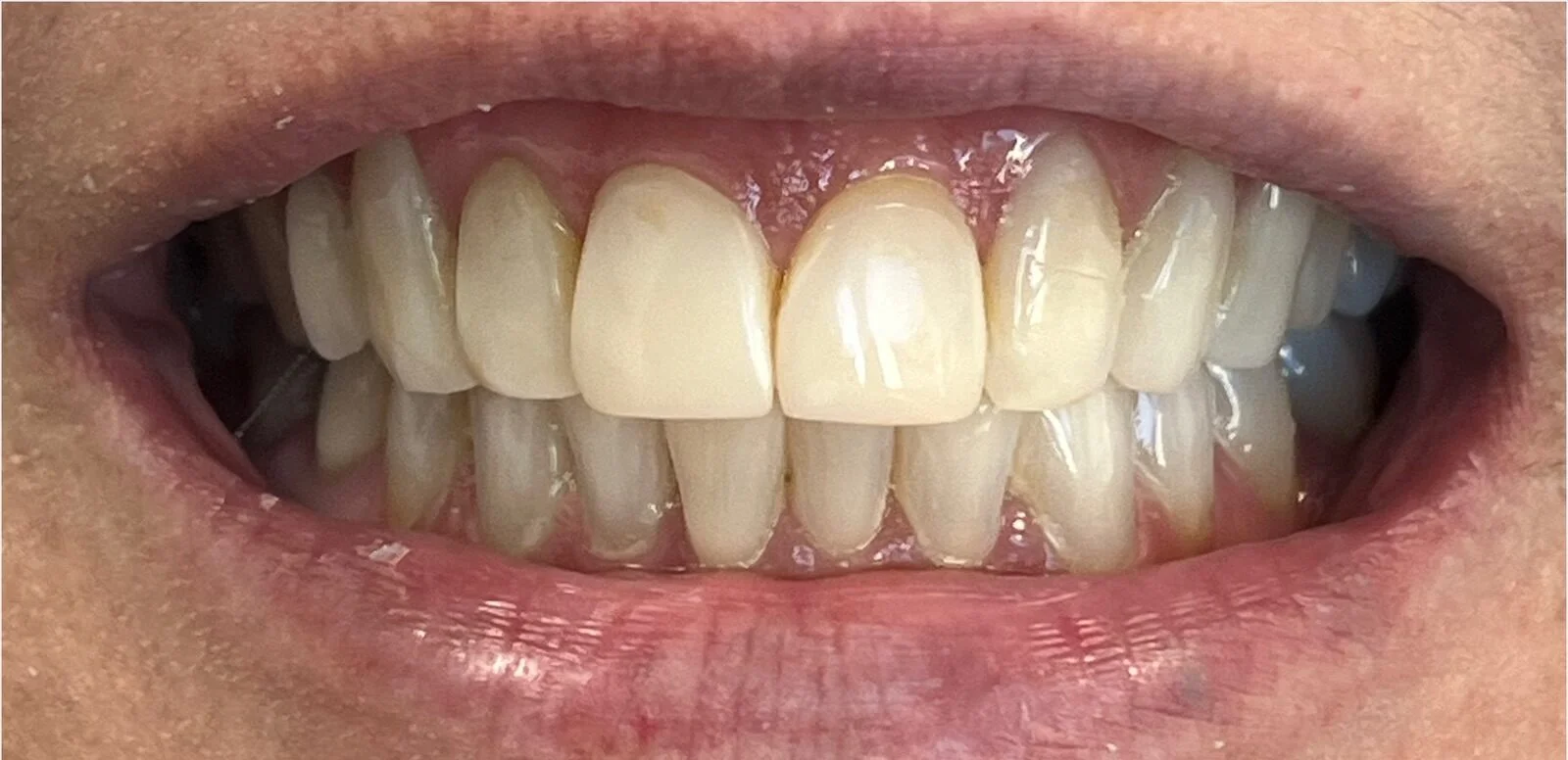
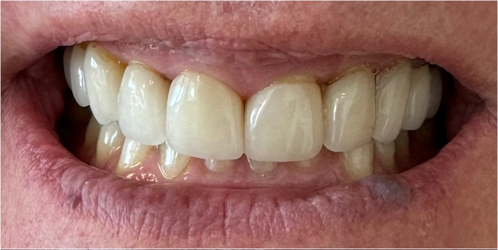
Smile Gallery











































